꾸준히 갱신될 예정입니다.
잘못된 정보가 있다면 바로잡아주시길 바랍니다.
방광의 구조

- 점막층 (urothelium, 상피층)
- 소변과 직접 맞닿아 있는 표피(상피). 여기서 암이 가장 먼저 발생한다.
- 점막하층 (lamina propria)
- 혈관, 결합조직 등이 있는 얇은 층.
- 근육층 (muscularis propria, detrusor muscle)
- 방광을 수축시켜 소변을 내보내는 진짜 근육.
- 장막/지방층 (perivesical fat, serosa)
- 방광 바깥쪽을 둘러싸는 층.기초 용어
기본 용어 정리
- 표재
- 암이 점막층/점막하층 범위에 존재하는 것
- 침윤
- 암이 근육을 파고든 것.
- 다른 장기에 전이할 가능성이 높음.
- 근치적 방광 절제술과 요로전환술이 요구된다.
- 비근침윤성 방광암(nonmuscle invasive bladder cancer, NMIBC)
- 표재성 방광암
- 암이 근육층을 파고들지 않은 상태
- 병변
- 신체 조직이나 장기에 발생하는 손상이나 비정상적인 변화
- 전암
- 암이 되기 직전의 상태.
- 이형성(dysplasia)
- 방광 점막 세포들이 비정상적으로 변형된 상태.
- 염증 때문에도 비슷하게 보일 수 있지만, 고위험군에서는 CIS로 진행할 수 있음.
- 경요도적 방광 절제술(TURBT)
- 방광 내 내시경을 통해 암 부위를 절제하는 수술.
- 가장 국소적이고 간단한 형태의 치료법.
- 이후 조직검사가 동반된다.
방광암의 높은 재발 원인
방광암, 특히 NMIBC의 치료에서 TURBT는 필수적인 초기 치료 방법으로 사용된다.
그러나 TURBT는 원칙적으로 암 수술의 기본 원칙에 위배될 수 있으며, 이는 NMIBC의 높은 재발률의 주요 원인 중 하나로 지목된다.
암 수술의 핵심 원칙 중 하나는 광범위한 절제(wide excision)와 안전한 절제연 확보(negative surgical margin)이다.
그러나 TURBT는 다음과 같은 이유로 이 원칙을 준수하기 어렵다.
- 부분적 종양 절제: 방광암은 다발성(multiple lesions)으로 발생하는 경우가 많아, TURBT를 통해 육안으로 보이는 병변만 절제할 경우 잔존 종양이 남을 가능성이 높다[참조]
- 근본적인 종양 제거 불가능: TURBT는 종양을 방광에서 절제하는 치료법이지만, 방광을 보존하는 방식이므로 근본적인 치료가 어렵고, 재발 위험이 높다[참조]
- 방광 내 암세포 확산 가능성: 종양을 절제하는 과정에서 암세포가 방광 내로 흩어지면서(tumor seeding) 새로운 병변을 형성할 가능성이 있다[참조]
그렇기 때문에 TURBT 시행 후 50–70%의 환자에서 재발이 발생하며, 10–20%에서는 근육침윤성 방광암(muscle-invasive bladder cancer)으로 진행된다[참조]. 그렇기 때문에 수술 후 방광 내 약물주입요법은 반드시 필요한 경우가 있다.
암 분기
방광은 몸의 다양한 노폐물들을 보관하는 장소이기 때문에, 일반적으로 암에 취약하다.

조직학적 분류 기준

- non-invasive (표재성, 비근침윤성): 70%
- invasive(근침윤성): 20%
- metastatic(전이성): 10%
종양 기준(T)
T는 tumor(종양)의 약자로, 종양이 해당 위치에서 얼마나 커졌는지를 본다.
| 병기 | 설명 |
|---|---|
| Ta | 비츰습 유두암 |
| Tis | 상피내암종(CIS) |
| T0 | 암의 증거가 없음. (즉, 암이 아님) |
| T1 | 상피밑결합조직까지 침범 |
| T2 | 근육층까지 침범 - T2a: 얕은 근육층(안쪽 반)까지 침범 - T2b: 깊은 근육층 (바깥쪽 반)까지 침범 |
| T3 | 방광주위지방층까지 침범 - T3a: 현미경적 침범 - T3b: 맨눈(육안적) 침범 |
| T4 | 주위 기관까지 침범 - T4a: 전립선, 자궁 또는 질을 침범 - T4b: 골반벽 또는 복벽을 침범 |
넓은 의미의 상피내암종과 CIS는 다르다.
넓은 의미의 상피내암종은 그냥 전암 상태로 분류할 수 있지만,
흔히 방광암에서 multiple CIS라고 부르는 상피내암종은 악성도가 높은 암으로 분류된다.
림프절 전이 기준(N)
N은 lymph Node(림프절)에서 node(마디)의 앞글자로, 부위 림프절(regional lymph node) 전이가 얼마나 있는지를 본다. 방광암은 국소 림프절 전이가 있으면 3기, 원격 림프절 전이가 있으면 4기로 판정된다.
| 병기 | 설명 |
|---|---|
| N0 | 부위 림프절 전이가 없음. |
| N1 | 2cm 이하의 1개의 림프절 전이 |
| N2 | 2cm 초과 5cm 이하의 1개의 림프절 전이 또는 5cm 이하의 다발림프절 전이 |
| N3 | 5cm를 넘는 림프절 전이 |
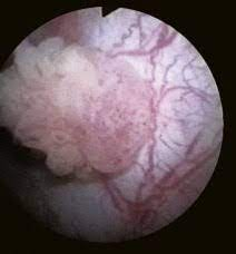
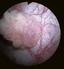
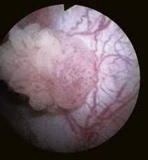
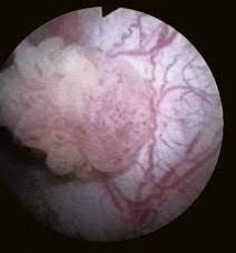
표재성 방광암

사진은 예시일 뿐, 반드시 조직검사가 동반되어야 한다.
유두형 방광암
전체 방광암의 95%를 차지하는 방광암으로, 재발하지 않는다면 비교적 예후가 좋다는 특징이 있다.

브로콜리 형태를 띄는게 대표적인 특징이다.
편평세포암(SCC)


전체 방광암의 3%를 차지한다.
지속적으로 방광 내 소변줄을 가지고 있는 척수손상 환자, 세균감염이나 방광결석 등의 방광 내 이물질에 의한 만성 자극과 염증, 만성 방광 출구 막힘, 기생충 감염이 있는 경우 SCC가 잘 생긴다고 알려져 있다.
상피내암, CIS
상피내암 (carcinoma in situ, CIS)은 분화도가 나쁜 종양세포로 구성된 방광상피에만 국한된 즉, 방광의 기저막을침 범하지 않은 종양으로 표재성 방광암이지만, 침윤성암으로 진행될 가능성이 매우 높은 방광암이다. 전체 방광암의 약 10%를 차지하며 이중 50%는 단독으로 (primary CIS) 나타나며 나머지는 다른 유두상 종양 침윤성 병변과 함께 (secondary CIS) 나타난다.
상피내암의 경우에는 피부 발진처럼 넓게 퍼져, 내시경 수술로 제거하기 어려운 특징이 있다.
따라서 일반적으로 BCG 약물 주입 치료를 통해 암 세포를 제거하는 작업을 수행한다.
각 암들의 예후

- 침윤성 방광암의 경우, 주로 다음과 같은 부위에 전이된다.
- 전립선
- 정낭
- 림프절 전이가 발생할 경우, 주로 다음과 같은 분위에 전이된다.
- 간
- 폐
- 골수
CIS - BCG 불응
방광 내 치료는 국내 허가사항에서 크게 두 가지 유형으로 나뉘며, 첫째는 칼메트-게랭막대균(Bacillus Calmette-Guérin, BCG) 요법으로 대표되는 방광 내 면역요법(intravesical immunotherapy)이고, 둘째는 미토마이신 C (mitomycin C, MMC), 젬시타빈염산염(gemcitabine), 염산에피루비신(epirubicin), 독소루비신(doxorubicin) 등의 약제를 포함하는 방광 내 화학요법(intravesical chemotherapy)이다[5].
저위험군 환자는 일반적으로 TURBT 후 즉시 단회 방광 내 화학요법이 요구되는 반면, 중간위험군부터 초고위험군 환자는 장기간의 BCG 요법 또는 중증도에 따라 다른 치료가 필요하다[6].
또한, 현재 방광암 치료에서 중요한 과제 중 하나는 BCG-비반응성 NMIBC (BCG-unresponsive NMIBC)로, 이는 충분한 용량과 기간의 BCG 치료에도 불구하고 환자가 반응을 보이지 않는 경우를 의미한다.
이에 따라 치료 효과를 향상시키기 위한 대체 치료 전략이 연구되고 있다[7].
Gemcitabine
위험/고위험 NMIBC군에서 gemcitabine을 처방 받은 환자들은 방광암의 재발 없이 25%–87.5%의 생존율을 보였고, 전체 대상 환자의 0.8%–37.5% 정도에서만 방광암이 진행하는 결과를 보였다.
이 논문은 기존의 연구가 gemcitabine의 효능을 결론내기에는 질적인 면에서 부족 함을 인정하지만, 방광 내 gemcitabine 치료가 방광암 치 료의 한 영역으로 인정받을 수 있다고 결론을 맺고 있다.
(Shelley MD, Jones G, Cleves A, Wilt TJ, Mason MD, Kynaston HG. Intravesical gemcitabine therapy for non-muscle invasive bladder cancer (NMIBC): a systematic review. BJU Int 2012;109:496-505.)
Gemcitabine 환자군은 gemcitabine 2,000 mg을 50 mL 생리식염수에 혼합하여 한 시간 동안 방광 내 주입하는 방식으로 1주 간격으로 6주 동안 투약하였고, MMC 환자군은 경요도방광종양 절제술을 시행한 지 2일 이내에 40 mg/50 mL로 섞은 용액을 한 시간 동안 주입한 다음 1주 간격으로 4주 동안 투여하였다.
추적 관찰한 기간의 중위값이 36개월에 도달한 시점에서 방광암 재발률은 MMC 환자군이 38%였고, gemcitabine 환자군은 29%로 MMC 환자군에 비해 낮은 결과값을 보였다(p-value는 제시되지 않음).
방광암의 진행률도 gemcitabine 환자군이 MMC로 치료한 환자군에 비해 더 낮은 결과를 보였다(11% vs 18%, p=0.14).
부작용 측면에서 살펴보았을 때도 gemcitabine이 MMC에 비해 부작용 발생 확률이 적고 환자의 순응도가 높았다.
Valrubicin
- FDA 승인을 받은 기록이 있다.
- 현재는 반응률이 저조하여 잘 안쓰이고 있다고 한다.
- side effect
- Blood in urine.
- loss of bladder control.
- painful or difficult urination.
- red color in urine.
- strong urge to urinate.
- unusually frequent urination.
항암 치료제의 분류
- 세포독성 항암제
- 우리가 흔히 항암제 하면 떠올리는 인식
- 빠르게 분열하는 정상 세포도 같이 손상되기 때문에 탈모, 구토, 골수억제 같은 부작용이 흔하다.
- 표적치료제 (Targeted therapy)
- 특정 암세포의 분자적 표적(유전자 변이, 수용체, 효소 등)을 겨냥한다.
- 예: 이매티닙(만성골수성백혈병의 BCR-ABL 표적), 트라스투주맙(HER2 양성 유방암 표적).
- 정상 세포에는 비교적 영향을 덜 주어 부작용이 다르다.
- 면역치료제 (Immunotherapy)
- 직접 암세포를 죽이는 대신, 환자의 면역계를 활성화하여 암세포를 공격하도록 만든다.
- 예: 면역관문 억제제(PD-1 억제제인 펨브롤리주맙, CTLA-4 억제제인 이필리무맙).
- 부작용은 주로 자가면역 반응 형태(피부 발진, 장염, 폐렴 등).
- 방광암은 주로 방광 내 직접 약물 주입을 통해 수행되므로 위 세 종류 약을 사용하진 않는다.
- 다만, 이미 어느정도 전이가 진행된 경우, 다음과 같은 약제를 사용하게 된다.
- 키트루다(pembrolizumab) + 파드셉(Padcev)
- 백금 기반 세포독성 항암제
조기 근치적 방광절제술
전이 가능성이 높은 CIS의 특징을 역이용하여, 빠른 방광 절제로 외부 전이를 막는 방법이다.
아래부터 근치적 방광절제술의 설명을 이어가도록 하겠다.
근치적 방광절제술
- 근치적이라는 표현은 방광암이 퍼질 수 있는 주변 장기와 조직까지 같이 제거한다는 뜻이다.
- 이후, 방광을 대신하기 위한 요로 전환술도 함께 수행한다.
- 최종 수단, 가장 고난이도 수술이다.
- 일반적으로 장기 기증시에도 기존에 존재하던 장기를 제거하지 않는 만큼, 기존에 존재하던 장기를 제거하는 것은 감염과 합병증의 위험부담이 크다.
- 다만 이보다 방광의 절제가 치료에 더욱 효과적이라고 의사가 판단했을 시, 방광 절제술을 수행하게 된다.
- 방광에 의한 다른 영역 전이를 차단한다.
- 하지만,이미 림프절에 전이되어 있던 암이 다른 범위로 전이될 가능성이 존재한다.
- 즉, 림프절로 전이되기 전에 치료를 수행하고, 지속적인 관찰이 필요하다.
요로 전환술에는 두가지 방법이 존재한다.
- 회장도관술
- 인공방광 조형술
회장도관술

합병증 및 부작용
1. 요로감염
회장도관술을 받은 사람은 요루 개구부에서 신장까지의 거리가 짧기 때문에 요로감염의 위험성을 항상 가지고 있다. 혼탁한 소변, 소변 내 혈액, 심한 소변 냄새, 옆구리 통증, 열과 권태감 등 요로감염의 증상과 징후를 환자 스스로 확인할 수 있어야 한다.
2. 요루 주변 피부 문제
소변의 접촉으로 피부가 자극되어 홍반, 진균 감염, 알레르기성 피부염 등이 발생할 수 있다.
3. 요루로 인한 문제
1) 출혈
요루를 세척할 때 요루 점막에서 소량의 출혈이 생기지만 몇 분 안에 멎는 것이 보통이다. 출혈이 계속되거나 비정상적으로 심해지면 의사에게 알려야 한다. 요루가 아닌 상부요로에서 나오는 혈액은 대부분 감염이나 결석 등 합병증과 관계가 있다. 특정 약물(항암제 독소루비신, 결핵치료제 리팜피신 등)에 의해서도 소변이 붉은색으로 보일 수 있다.
2) 협착
요루나 요관과의 연결 부위에 협착이 발생해 수술적 치료가 필요할 수 있다.
3) 전해질 이상
회장 도관의 점막은 기본 기능으로 소변에서 전해질을 흡수한다. 신장 기능이 정상이면 재흡수한 전해질을 쉽게 배설하지만, 신장 기능이 저하된 경우에는 전해질 불균형이 올 수 있다. 따라서 지속적인 요루 관리와 주기적인 전해질 검사가 필요하다.
4) 탈장
요루 주위의 탈장은 수술로 치료하나 일부 환자는 탈장 복원술까지는 필요하지 않을 수 있다.
5) 성기능 장애
요루 사용이 편안해지면 정상적인 성생활로 돌아갈 수 있다. 방광전절제술과 요로전환술을 받은 남성이 발기부전을 겪는 경우가 있으며, 경구용 발기부전 치료제를 이용하면 성기능 회복에 도움이 된다. 여성은 질이 좁아지거나 짧아져 성교통을 겪기도 하는데, 윤활제를 사용하면 도움이 된다.
인공방광 조형술

인공방광 조형술은 회장을 이용해 인위적으로 방광 모양을 만들어, 방광의 역할을 대신하도록 만드는 수술이다.
합병증 및 부작용
1. 요실금
요실금은 수술 후 삶의 질에 중요하다. 일반적으로 수술 후 방광 용적은 6개월 후 약 400~500 cc 정도로 늘어나며, 인공방광을 이용한 배뇨법에 적응하면 낮 시간의 요실금은 대부분 호전된다고 한다. 밤 동안 요실금이 지속되는 경우에는 약물치료와 수분 섭취 조절 등을 통해 조절한다.
2. 대사장애
대사장애는 절제한 장의 길이와 밀접한 관계가 있는데, 회장 말단부를 15-20 cm 정도 보존하고 60cm 이하의 회장을 이용하면 비타민 B12 부족 및 담즙흡수장애는 잘 발생하지 않는다. 회맹판이나 원위부 회장을 사용한 경우 심한 설사가 동반될 수 있다.
3. 신장 기능 저하
수술 후 소변은 새로 만든 방광 안에 저장되며, 장의 특성상 흡수가 일어나 소변 중 요소가 혈액으로 재흡수되어 버린다. 따라서 수술 전 적절한 신장 기능이 확인되어야 정위성 인공방광 대치술이 가능하다.
4. 성기능 장애
방광전절제술과 요로전환술을 받은 남성이 발기부전을 겪는 경우가 있으며, 경구용 발기부전 치료제를 이용하면 성기능 회복에 도움이 된다. 여성은 질이 좁아지거나 짧아져 성교통을 겪기도 하는데, 윤활제를 사용하면 도움이 된다.
참고
- https://blog.naver.com/olive_68/222645004659
- https://m.blog.naver.com/premeduab/221809243359
- https://www.e-juo.org/upload/pdf/Kjuo003-02-01.pdf
- https://jkma.org/journal/view.php?number=3626
- https://www.e-juo.org/upload/pdf/kjuo-20-2-82.pdf (review article)
- 질병관리청 국가건강정보포털 https://health.kdca.go.kr/healthinfo/biz/health/gnrlzHealthInfo/gnrlzHealthInfo/gnrlzHealthInfoView.do?cntnts_sn=6241
- 질병관리청 국가건강정보포털 https://health.kdca.go.kr/healthinfo/biz/health/gnrlzHealthInfo/gnrlzHealthInfo/gnrlzHealthInfoView.do;jsessionid=vbMQn-ffNF5m9nWLx6tOOWK3c1yt89IeaVzsaZBs.healthinfo10?cntnts_sn=6242
'개인적 공간 > 방광암 치료' 카테고리의 다른 글
| 키트루다(펨브롤리주맙)의 CIS 방광암 치료 사용 (0) | 2025.09.04 |
|---|